Zęby w jeden dzień Koszalin
Zabieg Zęby w jeden dzień w Koszalinie zyskuje coraz większą popularność, głównie ze względu na swoje liczne zalety. Przede wszystkim jest to rozwiązanie idealne dla osób, które z różnych powodów nie mogą sobie pozwolić na długotrwałe leczenie stomatologiczne. Dzięki nowoczesnym technologiom, takim jak implanty zębowe oraz cyfrowe projektowanie uśmiechu, pacjenci mogą uzyskać estetyczny i funkcjonalny uśmiech w zaledwie kilka godzin. To znacznie redukuje stres związany z wizytami u dentysty, ponieważ zamiast wielu wizyt, pacjent może za jednym razem przejść przez cały proces. Dodatkowo, zabieg ten często wiąże się z mniejszym bólem i dyskomfortem, co jest istotnym czynnikiem dla wielu osób obawiających się leczenia stomatologicznego. Kolejną zaletą jest to, że pacjenci mogą wrócić do normalnych aktywności praktycznie od razu po zabiegu, co znacząco wpływa na komfort ich życia.
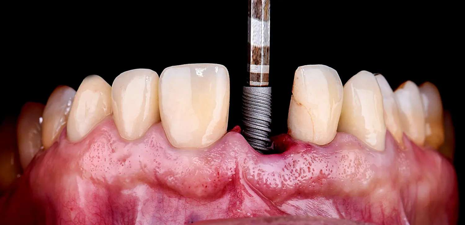
Jak wygląda proces Zęby w jeden dzień w Koszalinie
Proces Zęby w jeden dzień w Koszalinie jest starannie zaplanowany i składa się z kilku kluczowych etapów. Na początku pacjent przechodzi szczegółową konsultację stomatologiczną, podczas której lekarz ocenia stan zdrowia jamy ustnej oraz wykonuje niezbędne badania diagnostyczne. Na podstawie tych informacji lekarz podejmuje decyzję o dalszym postępowaniu i przedstawia pacjentowi plan leczenia. Następnie następuje etap przygotowania do zabiegu, który może obejmować usunięcie zębów wymagających ekstrakcji oraz przygotowanie kości do implantacji. W dniu zabiegu pacjent otrzymuje znieczulenie miejscowe lub ogólne, a następnie lekarz przystępuje do wszczepienia implantów oraz wykonania koron protetycznych. Cały proces trwa zazwyczaj kilka godzin i kończy się nałożeniem tymczasowych koron, które pacjent nosi do momentu wykonania stałych uzupełnień.
Kto powinien rozważyć Zęby w jeden dzień w Koszalinie

Zabieg Zęby w jeden dzień w Koszalinie jest szczególnie polecany dla osób, które borykają się z problemami stomatologicznymi takimi jak brak jednego lub kilku zębów oraz dla tych, którzy chcą poprawić estetykę swojego uśmiechu. Osoby te często czują się niekomfortowo z powodu swoich braków zębowych i pragną szybko odzyskać pewność siebie. Zabieg ten jest także odpowiedni dla pacjentów, którzy mają ograniczony czas na leczenie lub nie chcą wielokrotnie odwiedzać gabinetu stomatologicznego. Warto jednak pamiętać, że nie każdy pacjent kwalifikuje się do tego rodzaju procedury; osoby z poważnymi schorzeniami ogólnymi lub niewłaściwym stanem zdrowia jamy ustnej mogą wymagać wcześniejszego leczenia lub innego podejścia terapeutycznego. Dlatego przed podjęciem decyzji o zabiegu warto skonsultować się ze specjalistą, który oceni indywidualną sytuację pacjenta i doradzi najlepsze rozwiązanie.
Jakie są koszty związane z Zębami w jeden dzień w Koszalinie
Koszty związane z zabiegiem Zęby w jeden dzień w Koszalinie mogą być różnorodne i zależą od wielu czynników. Przede wszystkim cena może być uzależniona od wybranej kliniki oraz doświadczenia lekarza prowadzącego. Warto zwrócić uwagę na to, że koszt całego procesu obejmuje nie tylko wszczepienie implantów, ale także wykonanie koron protetycznych oraz wszelkich badań diagnostycznych przed zabiegiem. Często kliniki oferują różnorodne pakiety cenowe oraz promocje, co może znacząco wpłynąć na finalną kwotę do zapłaty. Dodatkowo warto rozważyć możliwość skorzystania z finansowania lub ratalnych planów płatności, które wiele placówek oferuje swoim pacjentom. Należy również pamiętać o ewentualnych dodatkowych kosztach związanych z wizytami kontrolnymi czy koniecznością wykonania dodatkowych procedur medycznych po zabiegu.
Jakie są opinie pacjentów o Zębach w jeden dzień w Koszalinie
Opinie pacjentów na temat zabiegu Zęby w jeden dzień w Koszalinie są zazwyczaj bardzo pozytywne, co przyczynia się do rosnącej popularności tej metody leczenia. Wiele osób podkreśla, że kluczowym atutem tego zabiegu jest jego szybkość oraz efektywność. Pacjenci cenią sobie możliwość uzyskania nowego uśmiechu w tak krótkim czasie, co dla wielu z nich jest ogromnym udogodnieniem. Wiele osób zauważa także znaczną poprawę komfortu życia po zabiegu, dzięki czemu mogą swobodnie jeść, rozmawiać i uśmiechać się bez obaw o estetykę swojego uzębienia. Warto również zwrócić uwagę na komentarze dotyczące samego procesu leczenia; pacjenci często chwalą profesjonalizm lekarzy oraz personelu medycznego, którzy dbają o komfort i bezpieczeństwo w trakcie zabiegu. Niektórzy pacjenci dzielą się swoimi doświadczeniami związanymi z bólem i dyskomfortem, zazwyczaj podkreślając, że nowoczesne metody znieczulenia znacznie minimalizują te nieprzyjemne odczucia.
Czy Zęby w jeden dzień w Koszalinie są bezpieczne
Bezpieczeństwo zabiegu Zęby w jeden dzień w Koszalinie jest jednym z kluczowych aspektów, które pacjenci biorą pod uwagę przed podjęciem decyzji o leczeniu. Nowoczesne technologie oraz zaawansowane metody stosowane w stomatologii pozwalają na przeprowadzanie tego rodzaju procedur z wysokim poziomem bezpieczeństwa. Wiele klinik stosuje najnowsze materiały oraz techniki, które minimalizują ryzyko powikłań oraz infekcji. Przed przystąpieniem do zabiegu każdy pacjent przechodzi szczegółową diagnostykę oraz konsultację, co pozwala na wykluczenie ewentualnych przeciwwskazań zdrowotnych. Ważne jest również to, aby zabieg był przeprowadzany przez wykwalifikowanych specjalistów z doświadczeniem w tej dziedzinie. Dzięki temu pacjenci mogą mieć pewność, że wszelkie procedury będą wykonane zgodnie z najwyższymi standardami medycznymi. Oczywiście jak każdy zabieg chirurgiczny niesie ze sobą pewne ryzyko, jednak odpowiednia kwalifikacja pacjenta oraz staranność lekarza mogą znacząco je zredukować.
Jak przygotować się do zabiegu Zęby w jeden dzień w Koszalinie
Przygotowanie do zabiegu Zęby w jeden dzień w Koszalinie jest kluczowym elementem całego procesu leczenia i może znacząco wpłynąć na jego powodzenie. Na początku warto umówić się na konsultację ze stomatologiem, który oceni stan zdrowia jamy ustnej oraz zaproponuje odpowiedni plan działania. W zależności od indywidualnych potrzeb pacjenta może być konieczne wykonanie dodatkowych badań diagnostycznych takich jak zdjęcia rentgenowskie czy tomografia komputerowa. Po ustaleniu planu leczenia lekarz powinien poinformować pacjenta o wszystkich niezbędnych krokach do podjęcia przed zabiegiem. Często zaleca się unikanie palenia papierosów oraz alkoholu na kilka dni przed planowaną procedurą, ponieważ substancje te mogą negatywnie wpłynąć na proces gojenia. Ponadto ważne jest, aby zadbać o odpowiednią higienę jamy ustnej przed wizytą; regularne szczotkowanie zębów oraz nitkowanie mogą pomóc w uniknięciu infekcji po zabiegu.
Jak długo trwa rekonwalescencja po Zębach w jeden dzień w Koszalinie
Rekonwalescencja po zabiegu Zęby w jeden dzień w Koszalinie zazwyczaj przebiega szybko i sprawnie, co jest jedną z głównych zalet tej metody leczenia. Większość pacjentów wraca do swoich codziennych obowiązków już następnego dnia po zabiegu, co czyni ten proces niezwykle komfortowym. Oczywiście czas rekonwalescencji może różnić się w zależności od indywidualnych predyspozycji organizmu oraz specyfiki przeprowadzonego zabiegu. W pierwszych dniach po operacji pacjenci mogą odczuwać niewielki dyskomfort lub ból, który można złagodzić za pomocą leków przeciwbólowych przepisanych przez lekarza. Ważne jest również przestrzeganie zaleceń dotyczących diety; przez kilka dni zaleca się unikanie twardych i gorących potraw na rzecz miękkiego jedzenia. Regularne wizyty kontrolne są istotnym elementem procesu gojenia; lekarz będzie monitorował postęp oraz dostosowywał dalsze leczenie jeśli zajdzie taka potrzeba.
Jak wygląda pielęgnacja zębów po Zębach w jeden dzień w Koszalinie
Pielęgnacja zębów po zabiegu Zęby w jeden dzień w Koszalinie jest kluczowym aspektem zapewniającym długotrwałe efekty leczenia oraz zdrowe uzębienie. Po zakończeniu procedury pacjent powinien ściśle przestrzegać zaleceń lekarza dotyczących higieny jamy ustnej. Zaleca się regularne szczotkowanie zębów co najmniej dwa razy dziennie przy użyciu pasty zawierającej fluor oraz delikatnej szczoteczki do zębów, aby nie podrażnić okolic implantów czy nowych koron protetycznych. Dodatkowo nitkowanie zębów powinno stać się codziennym rytuałem; pozwoli to na usunięcie resztek pokarmowych i płytki nazębnej z trudno dostępnych miejsc między zębami. Pacjenci powinni również unikać twardych pokarmów przez kilka tygodni po zabiegu oraz ograniczyć spożycie słodyczy i napojów gazowanych, które mogą wpływać negatywnie na zdrowie ich nowych zębów.
Czy warto zdecydować się na Zęby w jeden dzień w Koszalinie
Decyzja o wyborze zabiegu Zęby w jeden dzień w Koszalinie powinna być dobrze przemyślana i oparta na indywidualnych potrzebach pacjenta. Dla wielu osób ten innowacyjny sposób leczenia stanowi idealne rozwiązanie problemu brakujących zębów lub niezadowolenia z estetyki swojego uśmiechu. Szybkość wykonania zabiegu oraz natychmiastowe efekty są niewątpliwie dużymi atutami tej metody; wiele osób docenia możliwość szybkiego powrotu do codziennych aktywności bez długotrwałego oczekiwania na rezultaty leczenia. Jednak przed podjęciem decyzji warto dokładnie zapoznać się ze wszystkimi aspektami związanymi z tym rodzajem terapii; należy rozważyć zarówno korzyści jak i potencjalne ryzyka związane z procedurą. Konsultacja ze specjalistą pomoże rozwiać wszelkie wątpliwości i umożliwi dokonanie świadomego wyboru.





