Implanty zębowe Warszawa
Utrata nawet pojedynczego zęba może mieć znaczący wpływ na komfort życia, estetykę uśmiechu oraz funkcje żucia. Na szczęście współczesna stomatologia oferuje rozwiązania pozwalające na skuteczne i trwałe uzupełnienie braków zębowych. W Warszawie, jako dynamicznie rozwijającym się centrum medycyny, dostępnych jest wiele placówek oferujących zabiegi implantacji. Wybór odpowiedniego miejsca oraz specjalisty jest kluczowy dla powodzenia całego procesu, od wstępnej konsultacji, przez sam zabieg, aż po okres rekonwalescencji i finalną odbudowę protetyczną. Implanty zębowe w Warszawie to opcja dla osób pragnących przywrócić naturalny wygląd i pełną funkcjonalność swojego uzębienia, ciesząc się nim przez wiele lat.
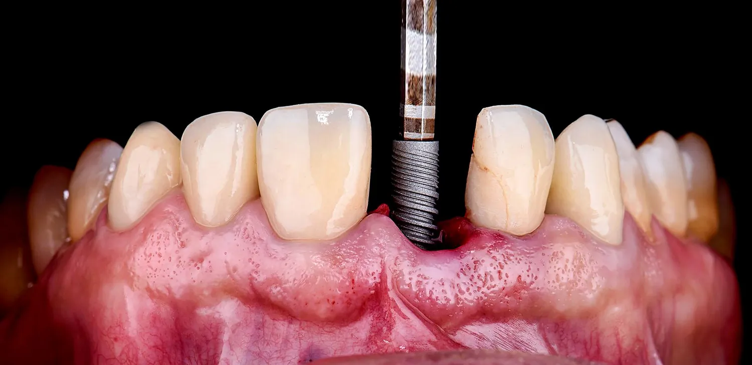
Proces implantacji jest złożony i wymaga precyzji, doświadczenia lekarza oraz nowoczesnego sprzętu. Bezpośrednio po wszczepieniu implantu, który stanowi tytanowy odpowiednik korzenia zęba, następuje okres osteointegracji, czyli zrastania się implantu z kością szczęki lub żuchwy. Jest to fundamentalny etap, od którego zależy stabilność i trwałość przyszłej odbudowy. W tym czasie pacjent może nosić tymczasowe uzupełnienie protetyczne, które zapewnia estetykę uśmiechu i umożliwia normalne funkcjonowanie. Po zakończeniu procesu gojenia, na implancie osadzana jest śruba łącząca, a następnie indywidualnie dopasowana korona protetyczna, która idealnie imituje naturalny ząb pod względem koloru, kształtu i wielkości.
Decyzja o wszczepieniu implantów zębowych w Warszawie powinna być poprzedzona szczegółową analizą potrzeb pacjenta i stanu jego zdrowia jamy ustnej. Specjalista przeprowadzi dokładne badanie kliniczne, wykona niezbędne badania radiologiczne, takie jak pantomogram czy tomografia komputerowa szczęki, aby ocenić jakość i ilość tkanki kostnej, a także stan przyzębia. Tylko na podstawie tych danych można zaplanować optymalną strategię leczenia, dobrać odpowiedni typ implantu i technikę zabiegową. Wszczepienie implantów zębowych w stolicy jest dostępne dla szerokiego grona pacjentów, choć istnieją pewne przeciwwskazania, które lekarz szczegółowo omówi podczas konsultacji.
Główne zalety implantów zębowych dla pacjentów w stolicy
Implanty zębowe stanowią najbardziej zaawansowane i fizjologiczne rozwiązanie w przypadku utraty zębów, oferując szereg korzyści, które znacząco poprawiają jakość życia pacjentów w Warszawie. Przede wszystkim, dzięki implantom można odzyskać pełną funkcjonalność żucia, co przekłada się na lepsze trawienie i możliwość spożywania ulubionych potraw bez ograniczeń. W przeciwieństwie do tradycyjnych protez, implanty są stabilne i nie przemieszczają się podczas jedzenia czy mówienia, co zapewnia pacjentowi komfort i pewność siebie. Estetyka uśmiechu jest również przywracana na najwyższym poziomie. Korony protetyczne osadzane na implantach są wykonane z materiałów najwyższej jakości, idealnie dopasowane do naturalnego uzębienia pod względem koloru, kształtu i przezierności, co sprawia, że są praktycznie nieodróżnialne od prawdziwych zębów.
Kolejną istotną zaletą implantów zębowych jest ochrona kości szczęki lub żuchwy przed zanikiem. Po utracie zęba, kość w tym miejscu przestaje być stymulowana, co prowadzi do jej stopniowej resorpcji. Implant, poprzez swoją obecność i przenoszenie obciążeń żuchwowych, stymuluje kość, zapobiegając jej zanikowi. Zapobiega to również charakterystycznemu zapadaniu się rysów twarzy, które często towarzyszy rozległym brakom zębowym. Wszczepienie implantów w Warszawie pozwala zatem nie tylko odtworzyć utracone zęby, ale także zachować młody wygląd i strukturę twarzy na dłużej.
Dla wielu pacjentów kluczowe jest również to, że implanty zębowe nie wymagają szlifowania zdrowych zębów sąsiednich, co jest konieczne w przypadku tradycyjnych mostów protetycznych. Dzięki temu zdrowe tkanki zębów pozostają nienaruszone, co jest bardzo ważne z punktu widzenia długoterminowej higieny i zdrowia jamy ustnej. Implanty są również rozwiązaniem długoterminowym – przy odpowiedniej higienie i regularnych kontrolach stomatologicznych mogą służyć pacjentowi przez całe życie, stanowiąc inwestycję w zdrowie i pewność siebie.
Kluczowe etapy leczenia implantologicznego w placówkach warszawskich

Na podstawie zebranych danych i wyników badań, lekarz opracowuje indywidualny plan leczenia, który uwzględnia rodzaj i liczbę potrzebnych implantów, materiały protetyczne, a także harmonogram zabiegów i ich koszty. Pacjent jest szczegółowo informowany o wszystkich etapach leczenia, potencjalnych ryzykach i korzyściach. Po zaakceptowaniu planu leczenia następuje etap chirurgicznego wszczepienia implantu. Zabieg ten jest zazwyczaj wykonywany w znieczuleniu miejscowym i jest bezbolesny. Implant, wykonany najczęściej z biokompatybilnego tytanu, jest precyzyjnie umieszczany w kości szczęki lub żuchwy. Czasami, w zależności od wskazań, stosuje się również implanty natychmiastowe, wszczepiane w trakcie ekstrakcji zęba lub z natychmiastowym obciążeniem koroną tymczasową.
Po zabiegu chirurgicznym następuje okres osteointegracji, czyli procesu zrastania się implantu z otaczającą go kością. Trwa on zazwyczaj od kilku tygodni do kilku miesięcy, w zależności od indywidualnych czynników pacjenta i lokalizacji implantu. W tym czasie implant jest ukryty pod linią dziąsła lub przykryty śrubą gojącą. Po pomyślnym zakończeniu osteointegracji, podczas kolejnej wizyty, lekarz odsłania implant i przykręca do niego śrubę wyłaniającą lub łącznik protetyczny, który będzie podstawą dla przyszłej korony. Ostatnim etapem jest wykonanie i osadzenie ostatecznej korony protetycznej, która jest indywidualnie dopasowana do pacjenta pod względem koloru, kształtu i rozmiaru, przywracając pełną estetykę i funkcjonalność uśmiechu.
Dobór idealnego implantologa w Warszawie dla twojego leczenia
Wybór odpowiedniego specjalisty od implantologii w Warszawie to decyzja o kluczowym znaczeniu dla sukcesu całego procesu leczenia protetycznego. W stolicy działa wiele gabinetów i klinik oferujących usługi implantologiczne, dlatego tak ważne jest, aby poświęcić czas na dokładne rozeznanie i wybór miejsca, które spełni nasze oczekiwania pod względem jakości usług, doświadczenia personelu oraz stosowanych technologii. Pierwszym krokiem jest zazwyczaj zebranie rekomendacji od znajomych, rodziny lub lekarza rodzinnego, który może polecić sprawdzonego specjalistę. Warto również poszukać opinii pacjentów w internecie, na forach internetowych czy portalach medycznych, zwracając uwagę na komentarze dotyczące nie tylko efektów leczenia, ale także podejścia lekarza do pacjenta, komunikacji i atmosfery panującej w gabinecie.
Kolejnym istotnym kryterium jest doświadczenie i kwalifikacje implantologa. Należy upewnić się, że lekarz posiada odpowiednie wykształcenie, ukończył specjalistyczne kursy i szkolenia z zakresu implantologii, a także regularnie doskonali swoje umiejętności. Warto zapytać o liczbę przeprowadzonych zabiegów implantacji, a także o statystyki dotyczące powodzenia leczenia. Niektóre kliniki udostępniają portfolio swoich prac, co może być pomocne w ocenie jakości wykonywanych zabiegów. Ważne jest również, aby specjalista stosował nowoczesne technologie i materiały, takie jak diagnostyka tomograficzna, mikroskopy zabiegowe czy wysokiej jakości implanty renomowanych producentów.
Podczas pierwszej wizyty konsultacyjnej warto zwrócić uwagę na to, w jaki sposób lekarz podchodzi do pacjenta. Czy jest cierpliwy, czy odpowiada na wszystkie pytania w sposób zrozumiały, czy poświęca pacjentowi wystarczająco dużo czasu? Komunikacja i poczucie zaufania są niezwykle ważne, ponieważ leczenie implantologiczne jest procesem długotrwałym i wymagającym zaangażowania obu stron. Dobry implantolog w Warszawie powinien przedstawić pacjentowi szczegółowy plan leczenia, omówić wszystkie dostępne opcje, rozwiać ewentualne wątpliwości i przedstawić jasny harmonogram oraz kosztorys zabiegów. Zwrócenie uwagi na te wszystkie aspekty pomoże w podjęciu świadomej decyzji i wyborze specjalisty, który zapewni profesjonalną opiekę na najwyższym poziomie.
Koszt implantów zębowych w Warszawie pełny przegląd cen i czynników
Decydując się na implanty zębowe w Warszawie, wiele osób zastanawia się nad ich kosztem. Cena implantacji jest zmienna i zależy od szeregu czynników, co sprawia, że nie można podać jednej, uniwersalnej kwoty. Podstawowym elementem wpływającym na cenę jest sam implant, czyli tytanowa śruba wszczepiana w kość. Producenci implantów oferują różne systemy, różniące się jakością materiałów, technologią produkcji oraz gwarancją producenta, co przekłada się na zróżnicowanie cen. Wybór renomowanego producenta, gwarantującego wysoką biokompatybilność i trwałość implantu, zazwyczaj wiąże się z wyższym kosztem.
Kolejnym ważnym składnikiem kosztu jest odbudowa protetyczna, czyli korona, która będzie osadzona na implancie. Korony mogą być wykonane z różnych materiałów, takich jak ceramika porcelanowa, cyrkon czy kompozyty, a także różnić się sposobem wykonania i dopasowania. Korony pełnoceramiczne lub cyrkonowe, zapewniające najlepszą estetykę i wytrzymałość, są zazwyczaj droższe niż korony kompozytowe. Cena obejmuje również śrubę łączącą (łącznik protetyczny), która stanowi element łączący implant z koroną. Jego cena zależy od materiału, z którego został wykonany, oraz od stopnia skomplikowania jego budowy.
Do całkowitego kosztu leczenia implantologicznego w Warszawie należy doliczyć również koszty związane z diagnostyką, takie jak wykonanie zdjęć rentgenowskich (pantomogram, tomografia komputerowa), które są niezbędne do precyzyjnego zaplanowania zabiegu. Cena samego zabiegu chirurgicznego, czyli wszczepienia implantu, również jest uwzględniana w całkowitym rozliczeniu. Warto pamiętać, że w niektórych przypadkach mogą być potrzebne dodatkowe procedury, takie jak podniesienie dna zatoki szczękowej (sinus lift) lub regeneracja kości, które znacząco wpływają na ostateczną cenę leczenia. Zawsze warto poprosić o szczegółowy kosztorys przed rozpoczęciem leczenia, aby mieć pełną świadomość wszystkich wydatków.
Jak długo trwa leczenie implantologiczne w Warszawie i czego oczekiwać
Czas trwania leczenia implantologicznego w Warszawie jest zmienny i zależy od wielu indywidualnych czynników, takich jak ogólny stan zdrowia pacjenta, jakość i ilość tkanki kostnej, rodzaj wszczepianego implantu, a także konieczność przeprowadzenia dodatkowych procedur chirurgicznych. Zazwyczaj cały proces, od momentu wszczepienia implantu do osadzenia ostatecznej korony protetycznej, może trwać od kilku miesięcy do nawet roku. Kluczowym etapem jest osteointegracja, czyli proces zrastania się implantu z kością. Ten okres, trwający zazwyczaj od 3 do 6 miesięcy w szczęce i od 2 do 4 miesięcy w żuchwie, jest niezbędny do zapewnienia stabilności i trwałości przyszłej odbudowy.
W trakcie trwania osteointegracji, pacjent zazwyczaj nosi tymczasowe uzupełnienie protetyczne, które zapewnia estetykę uśmiechu i umożliwia normalne funkcjonowanie. Po zakończeniu okresu gojenia, następuje etap protetyczny. Lekarz stomatolog przystępuje do pobrania wycisków i wykonania indywidualnej korony protetycznej. Proces ten, wraz z dopasowaniem i cementowaniem korony, zazwyczaj zajmuje kilka wizyt w ciągu kilku tygodni. W przypadku konieczności przeprowadzenia dodatkowych zabiegów, takich jak regeneracja kości lub podniesienie dna zatoki szczękowej, czas leczenia może się wydłużyć.
Współczesna stomatologia oferuje również możliwości skrócenia czasu leczenia. W niektórych przypadkach, gdy warunki kostne są idealne, możliwe jest wszczepienie implantu z natychmiastowym obciążeniem, czyli z osadzeniem korony tymczasowej już w dniu zabiegu chirurgicznego. Pozwala to na szybsze przywrócenie estetyki i funkcji, jednak wymaga szczególnej precyzji i doświadczenia lekarza. Ważne jest, aby podczas konsultacji implantologicznej w Warszawie lekarz dokładnie omówił przewidywany czas trwania leczenia, biorąc pod uwagę indywidualną sytuację pacjenta i przedstawiając realistyczny harmonogram.
Możliwe powikłania po zabiegu implantacji zębów w stolicy
Choć zabiegi implantacji zębów w Warszawie są procedurami o wysokim wskaźniku powodzenia, jak każda interwencja chirurgiczna, niosą ze sobą potencjalne ryzyko wystąpienia powikłań. Najczęściej występujące powikłania można podzielić na te pojawiające się bezpośrednio po zabiegu oraz te, które mogą wystąpić w późniejszym okresie. Bezpośrednio po wszczepieniu implantu może pojawić się niewielki obrzęk, ból lub krwawienie. Są to zazwyczaj łagodne reakcje organizmu, które można kontrolować za pomocą odpowiednich leków przeciwbólowych i przeciwzapalnych, a także stosowania zimnych okładów. W rzadkich przypadkach może dojść do infekcji w miejscu wszczepienia implantu, co wymaga wdrożenia antybiotykoterapii.
Bardziej złożone powikłania mogą dotyczyć problemów z osteointegracją, czyli procesem zrastania się implantu z kością. Może to być spowodowane niedostateczną ilością lub jakością kości, nieprawidłową techniką chirurgiczną, przeciążeniem implantu w okresie gojenia, a także chorobami ogólnoustrojowymi pacjenta, takimi jak cukrzyca czy osteoporoza, które mogą wpływać na proces gojenia. Brak osteointegracji może skutkować koniecznością usunięcia implantu i ponownego wszczepienia go po odpowiednim przygotowaniu kości. Innym potencjalnym problemem jest uszkodzenie struktur anatomicznych znajdujących się w pobliżu miejsca wszczepienia implantu, takich jak nerwy, co może prowadzić do czasowych lub trwałych zaburzeń czucia w obrębie wargi, brody czy języka.
Długoterminowe powikłania związane z implantami zębowymi mogą obejmować periimplantitis, czyli stan zapalny tkanek otaczających implant, podobny do paradontozy. Może on prowadzić do utraty kości wokół implantu i w konsekwencji do jego utraty. Periimplantitis jest zazwyczaj spowodowany niedostateczną higieną jamy ustnej, paleniem tytoniu lub chorobami ogólnoustrojowymi. Zapobieganie powikłaniom opiera się przede wszystkim na dokładnej diagnostyce przed zabiegiem, precyzyjnym planowaniu leczenia, sterylnym wykonaniu zabiegu chirurgicznego, a także na ścisłym przestrzeganiu zaleceń pozabiegowych przez pacjenta, w tym regularnej higieny jamy ustnej i wizyt kontrolnych u stomatologa.
Jak prawidłowo dbać o implanty zębowe po leczeniu w Warszawie
Po zakończeniu leczenia implantologicznego w Warszawie i osadzeniu ostatecznych koron protetycznych, kluczowe staje się prawidłowe dbanie o implanty, aby zapewnić im długowieczność i uniknąć ewentualnych powikłań. Podstawą jest codzienna, dokładna higiena jamy ustnej, która powinna być nawet bardziej staranna niż w przypadku naturalnych zębów. Należy stosować miękką szczoteczkę do zębów, pastę z fluorem oraz nić dentystyczną lub specjalne szczoteczki międzyzębowe, które pomogą w oczyszczaniu przestrzeni między implantem a dziąsłem, a także między koronami protetycznymi. Szczególną uwagę należy zwrócić na okolice szyjki implantu, gdzie gromadzą się resztki pokarmowe i bakterie, co może prowadzić do stanów zapalnych.
Oprócz codziennej higieny, niezwykle ważne są regularne wizyty kontrolne u stomatologa, który przeprowadzał leczenie implantologiczne. Zaleca się odbywanie ich co najmniej dwa razy w roku. Podczas wizyty kontrolnej lekarz oceni stan implantów, tkanek otaczających, a także jakość higieny jamy ustnej pacjenta. Może być konieczne wykonanie profesjonalnego czyszczenia zębów i implantów, które usunie kamień nazębny i osady, do których pacjent nie jest w stanie dotrzeć samodzielnie. Stomatolog może również zalecić stosowanie specjalistycznych płukanek do jamy ustnej, które wspomagają utrzymanie higieny i zapobiegają rozwojowi bakterii.
Pacjenci, którzy przeszli leczenie implantologiczne w Warszawie, powinni unikać nawyków, które mogą negatywnie wpłynąć na stan implantów, takich jak palenie tytoniu, które znacząco zwiększa ryzyko periimplantitis i utraty kości. Należy również unikać gryzienia twardych przedmiotów, takich jak lód czy ołówki, które mogą spowodować uszkodzenie koron protetycznych. W przypadku wystąpienia jakichkolwiek niepokojących objawów, takich jak ból, obrzęk, krwawienie z dziąseł w okolicy implantu, czy rozchwianie korony protetycznej, należy niezwłocznie skontaktować się ze swoim stomatologiem. Szybka reakcja i interwencja mogą zapobiec poważniejszym problemom i zapewnić długotrwałe utrzymanie implantów w doskonałym stanie.





