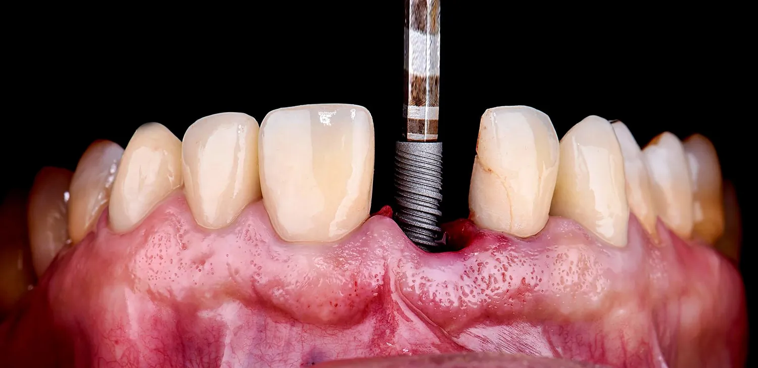
Implanty zębów co to jest?
Implanty zębów to nowoczesne rozwiązanie stomatologiczne, które ma na celu zastąpienie brakujących zębów. W skrócie, implant jest sztucznym korzeniem zęba, najczęściej wykonanym z tytanu, który jest wszczepiany w kość szczęki. Proces ten rozpoczyna się od dokładnej diagnostyki, która obejmuje zdjęcia rentgenowskie oraz ocenę stanu zdrowia pacjenta. Po zakwalifikowaniu do zabiegu, chirurg stomatologiczny przeprowadza operację wszczepienia implantu. W trakcie tego zabiegu implant jest umieszczany w kości, a następnie następuje okres gojenia, który trwa zazwyczaj kilka miesięcy. W tym czasie implant integruje się z kością, co zapewnia stabilność i trwałość całej konstrukcji. Po zakończeniu procesu gojenia na implancie mocowana jest korona protetyczna, która imituje naturalny ząb.
Jakie są zalety stosowania implantów zębów?
Implanty zębów oferują szereg korzyści, które sprawiają, że są one coraz bardziej popularnym wyborem wśród pacjentów. Przede wszystkim, implanty pozwalają na przywrócenie pełnej funkcji żucia, co jest niezwykle istotne dla komfortu życia. Dzięki nim można jeść różnorodne pokarmy bez obaw o dyskomfort czy ból. Kolejną zaletą jest ich trwałość; przy odpowiedniej pielęgnacji i regularnych wizytach u dentysty, implanty mogą służyć przez wiele lat, a nawet całe życie. Dodatkowo, implanty pomagają w zachowaniu struktury kości szczęki, co zapobiega jej zanikanie po utracie zęba. To ważne dla zachowania estetyki twarzy oraz uniknięcia problemów z układem zgryzu. Warto również zauważyć, że implanty nie wymagają szlifowania sąsiednich zębów, co jest często konieczne w przypadku tradycyjnych mostów protetycznych.
Jak przebiega proces wszczepiania implantów zębów?

Proces wszczepiania implantów zębów składa się z kilku kluczowych etapów, które mają na celu zapewnienie skuteczności i bezpieczeństwa zabiegu. Pierwszym krokiem jest konsultacja ze stomatologiem, który oceni stan zdrowia pacjenta oraz przeprowadzi szczegółowe badania diagnostyczne. Na podstawie wyników lekarz podejmie decyzję o możliwości przeprowadzenia zabiegu oraz zaplanuje jego przebieg. Następnie dochodzi do samego wszczepienia implantu, które odbywa się w znieczuleniu miejscowym lub ogólnym, w zależności od indywidualnych potrzeb pacjenta. Po umieszczeniu implantu w kości szczęki następuje okres gojenia trwający od kilku tygodni do kilku miesięcy. W tym czasie organizm pacjenta integruje implant z kością. Po zakończeniu gojenia lekarz przystępuje do wykonania korony protetycznej, która zostaje zamocowana na implancie.
Czy każdy może zdecydować się na implanty zębów?
Decyzja o wszczepieniu implantów zębów nie jest odpowiednia dla każdego pacjenta i wymaga indywidualnej oceny przez specjalistę. Istnieje kilka czynników, które mogą wpływać na możliwość przeprowadzenia takiego zabiegu. Przede wszystkim kluczowym aspektem jest stan zdrowia ogólnego pacjenta oraz kondycja kości szczęki. Osoby cierpiące na choroby przewlekłe takie jak cukrzyca czy choroby serca mogą wymagać dodatkowych badań przed podjęciem decyzji o wszczepieniu implantu. Ważna jest także ilość i jakość tkanki kostnej; w przypadku jej niedoboru może być konieczne przeprowadzenie dodatkowych zabiegów takich jak augmentacja kości przed wszczepieniem implantu. Ponadto pacjenci muszą być świadomi konieczności przestrzegania zasad higieny jamy ustnej oraz regularnych wizyt kontrolnych u dentysty po zakończeniu leczenia.
Jakie są koszty związane z implantami zębów?
Koszty związane z wszczepieniem implantów zębów mogą się znacznie różnić w zależności od wielu czynników, takich jak lokalizacja gabinetu stomatologicznego, doświadczenie specjalisty oraz rodzaj użytych materiałów. W Polsce ceny implantów wahają się zazwyczaj od kilku do kilkunastu tysięcy złotych za jeden implant. Warto jednak pamiętać, że cena nie obejmuje tylko samego implantu, ale także kosztów związanych z konsultacjami, diagnostyką, zabiegami chirurgicznymi oraz wykonaniem korony protetycznej. Dodatkowo, jeśli pacjent wymaga dodatkowych zabiegów, takich jak augmentacja kości czy sinus lifting, koszty te mogą znacznie wzrosnąć. Warto również zwrócić uwagę na to, że wiele klinik oferuje różne formy finansowania, takie jak płatności ratalne czy programy lojalnościowe, co może ułatwić pokrycie wydatków związanych z leczeniem.
Jakie są możliwe powikłania po wszczepieniu implantów?
Jak każdy zabieg chirurgiczny, wszczepienie implantów zębów niesie ze sobą ryzyko wystąpienia powikłań. Choć poważne komplikacje są rzadkie, warto być świadomym potencjalnych problemów. Najczęściej występującymi powikłaniami są infekcje w miejscu wszczepienia implantu, które mogą prowadzić do odrzucenia implantu przez organizm. Inne możliwe problemy to uszkodzenie nerwów lub naczyń krwionośnych podczas zabiegu, co może skutkować bólem lub drętwieniem w okolicy ust. Niekiedy może również wystąpić niewłaściwa integracja implantu z kością, co prowadzi do jego luzowania i konieczności usunięcia. W przypadku wystąpienia jakichkolwiek niepokojących objawów, takich jak ból, obrzęk czy wydzielina ropna, pacjent powinien jak najszybciej skontaktować się ze swoim dentystą.
Jak dbać o implanty zębów po ich wszczepieniu?
Prawidłowa pielęgnacja implantów zębów jest kluczowa dla ich trwałości i zdrowia jamy ustnej. Po zakończeniu procesu gojenia pacjent powinien stosować się do zaleceń stomatologa dotyczących higieny jamy ustnej. Podstawowym elementem codziennej pielęgnacji jest dokładne szczotkowanie zębów co najmniej dwa razy dziennie oraz nitkowanie przestrzeni międzyzębowych. Ważne jest również używanie odpowiednich narzędzi do czyszczenia wokół implantu, takich jak szczoteczki międzyzębowe czy irygatory dentystyczne. Regularne wizyty kontrolne u dentysty są niezbędne do monitorowania stanu zdrowia implantu oraz otaczających tkanek. Specjalista może zalecić dodatkowe zabiegi higieniczne lub profilaktyczne w celu zapobiegania chorobom przyzębia. Pacjenci powinni również unikać palenia tytoniu oraz nadmiernego spożycia alkoholu, ponieważ te czynniki mogą negatywnie wpływać na proces gojenia i integracji implantu z kością.
Jak długo trwa proces gojenia po wszczepieniu implantów?
Proces gojenia po wszczepieniu implantów zębów jest kluczowym etapem całego leczenia i może trwać od kilku tygodni do kilku miesięcy, w zależności od indywidualnych warunków pacjenta oraz zastosowanej metody leczenia. Po pierwszym etapie wszczepienia implantu następuje okres osteointegracji, podczas którego implant łączy się z kością szczęki. Czas ten zazwyczaj wynosi od trzech do sześciu miesięcy, ale może być dłuższy w przypadku pacjentów z osłabioną jakością kości lub innymi problemami zdrowotnymi. W tym czasie pacjent może być zobowiązany do stosowania tymczasowych rozwiązań protetycznych, aby przywrócić funkcjonalność żucia i estetykę uśmiechu. Po zakończeniu procesu gojenia lekarz przeprowadza kontrolę stanu implantu oraz otaczających tkanek przed przystąpieniem do mocowania korony protetycznej.
Czy implanty zębów są lepsze niż tradycyjne mosty protetyczne?
Wybór między implantami a tradycyjnymi mostami protetycznymi jest często kwestią indywidualnych preferencji pacjenta oraz jego stanu zdrowia jamy ustnej. Implanty mają wiele zalet w porównaniu do mostów; przede wszystkim nie wymagają szlifowania sąsiednich zębów, co pozwala zachować ich integralność i zdrowie. Ponadto implanty są bardziej trwałe i stabilne; przy odpowiedniej pielęgnacji mogą służyć przez wiele lat bez konieczności wymiany. Mosty protetyczne natomiast mają ograniczoną żywotność i często wymagają wymiany co kilka lat. Kolejnym istotnym aspektem jest zachowanie struktury kości szczęki; implanty pomagają zapobiegać jej zanikanie po utracie zęba, podczas gdy mosty mogą prowadzić do dalszych problemów ze zdrowiem kości w dłuższej perspektywie czasowej.
Jakie są alternatywy dla implantów zębów?
Alternatywy dla implantów zębów obejmują różnorodne rozwiązania protetyczne dostosowane do potrzeb pacjentów cierpiących na brak jednego lub kilku zębów. Jednym z najpopularniejszych rozwiązań są mosty protetyczne, które polegają na umocowaniu sztucznych zębów pomiędzy zdrowymi zębami filarowymi. Mosty mogą być skuteczne w przywracaniu funkcji żucia oraz estetyki uśmiechu; jednak wymagają szlifowania sąsiednich zębów, co może prowadzić do ich osłabienia w przyszłości. Inną opcją są protezy ruchome, które można łatwo wyjmować i zakładać; jednak ich noszenie może być mniej komfortowe i stabilne niż w przypadku implantów czy mostów stałych. W przypadku osób starszych lub tych z ograniczoną ilością tkanki kostnej mogą być również rozważane rozwiązania takie jak mini-implanty czy protezy osadzone na implantach.
Jakie badania diagnostyczne są potrzebne przed wszczepieniem implantów?
Przed przystąpieniem do zabiegu wszczepienia implantów zębów konieczne jest przeprowadzenie szczegółowych badań diagnostycznych mających na celu ocenę stanu zdrowia pacjenta oraz warunków anatomicznych jamy ustnej. Podstawowym badaniem jest zdjęcie rentgenowskie szczęki, które pozwala ocenić ilość i jakość tkanki kostnej oraz lokalizację nerwów i zatok szczękowych. W niektórych przypadkach lekarz może zalecić wykonanie tomografii komputerowej (CT), która daje dokładniejszy obraz struktury kostnej oraz umożliwia precyzyjne zaplanowanie zabiegu.





