Czy implanty są bezpieczne?
Bezpieczeństwo implantów jest jednym z kluczowych zagadnień, które budzą wiele pytań i wątpliwości wśród pacjentów oraz specjalistów medycznych. Warto zauważyć, że implanty stosowane w medycynie, takie jak implanty stomatologiczne czy ortopedyczne, są poddawane rygorystycznym testom i badaniom przed wprowadzeniem ich na rynek. Wiele badań klinicznych potwierdza ich skuteczność oraz bezpieczeństwo, jednak jak w każdej dziedzinie medycyny, istnieją pewne ryzyka związane z ich stosowaniem. Powikłania mogą obejmować infekcje, reakcje alergiczne czy problemy z integracją implantu z tkankami ciała. Dlatego przed podjęciem decyzji o wszczepieniu implantu ważne jest, aby pacjent dokładnie omówił wszystkie możliwe zagrożenia oraz korzyści ze swoim lekarzem. Dobrze przeprowadzony wywiad medyczny oraz odpowiednie przygotowanie do zabiegu mogą znacznie zredukować ryzyko wystąpienia powikłań.
Jakie są najczęstsze powikłania związane z implantami?
W przypadku wszczepiania implantów, niezależnie od ich rodzaju, mogą wystąpić różne powikłania, które warto znać przed podjęciem decyzji o zabiegu. Najczęściej zgłaszanymi problemami są infekcje w miejscu wszczepienia, które mogą prowadzić do konieczności usunięcia implantu. Inne powikłania to reakcje alergiczne na materiały użyte do produkcji implantu, co może powodować dyskomfort oraz ból. Czasami zdarza się również, że implant nie integruje się prawidłowo z kością lub innymi tkankami, co może prowadzić do jego luzowania lub całkowitego odrzucenia przez organizm. Warto także wspomnieć o problemach estetycznych, które mogą wynikać z niewłaściwego umiejscowienia implantu lub jego widoczności. Pacjenci powinni być świadomi tych potencjalnych zagrożeń i rozmawiać o nich z lekarzem przed podjęciem decyzji o zabiegu.
Czy implanty dentystyczne są bezpieczne dla pacjentów?

Implanty dentystyczne stały się popularnym rozwiązaniem dla osób z brakującymi zębami, jednak wiele osób zastanawia się nad ich bezpieczeństwem. Warto zaznaczyć, że są one wykonane z biokompatybilnych materiałów, takich jak tytan, co minimalizuje ryzyko reakcji alergicznych oraz odrzucenia przez organizm. Badania pokazują, że wskaźnik sukcesu implantów dentystycznych wynosi nawet 95 procent po pięciu latach od zabiegu. Kluczowym czynnikiem wpływającym na bezpieczeństwo jest odpowiednia higiena jamy ustnej oraz regularne wizyty kontrolne u stomatologa. Należy również pamiętać o tym, że nie każdy pacjent kwalifikuje się do zabiegu; osoby cierpiące na choroby przyzębia czy cukrzycę powinny być szczególnie ostrożne i skonsultować się ze specjalistą przed podjęciem decyzji o wszczepieniu implantu.
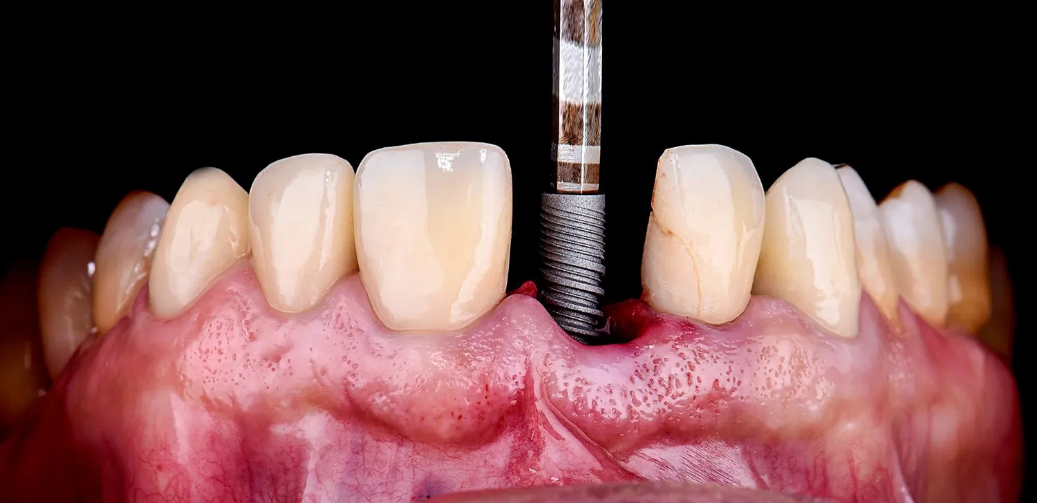
Jakie materiały są używane do produkcji implantów?
Materiały używane do produkcji implantów mają ogromny wpływ na ich bezpieczeństwo oraz skuteczność. Najczęściej stosowanym materiałem jest tytan, który charakteryzuje się doskonałą biokompatybilnością oraz odpornością na korozję. Tytan jest materiałem lekkim i wytrzymałym, co sprawia, że idealnie nadaje się do zastosowań medycznych. Oprócz tytanu można spotkać także implanty wykonane z innych materiałów, takich jak stopy tytanu czy ceramika. Implanty ceramiczne stają się coraz bardziej popularne ze względu na swoje właściwości estetyczne oraz mniejsze ryzyko wystąpienia reakcji alergicznych. Wybór odpowiedniego materiału zależy od wielu czynników, takich jak rodzaj zabiegu, stan zdrowia pacjenta czy oczekiwania estetyczne. Ważne jest także to, aby materiały były certyfikowane i spełniały normy jakościowe ustalone przez odpowiednie organy regulacyjne.
Czy implanty ortopedyczne są bezpieczne dla pacjentów?
Implanty ortopedyczne, takie jak sztuczne stawy czy śruby, są powszechnie stosowane w leczeniu urazów oraz chorób układu ruchu. Bezpieczeństwo tych implantów jest kluczowym zagadnieniem, które budzi wiele pytań wśród pacjentów. W przypadku implantów ortopedycznych, podobnie jak w przypadku innych typów implantów, przeprowadzane są liczne badania kliniczne mające na celu ocenę ich skuteczności oraz bezpieczeństwa. Wiele z tych implantów jest wykonanych z materiałów biokompatybilnych, co zmniejsza ryzyko reakcji alergicznych oraz odrzucenia przez organizm. Niemniej jednak, pacjenci powinni być świadomi potencjalnych powikłań, takich jak infekcje, ból czy ograniczenie ruchomości stawu. Ważne jest również to, aby przed zabiegiem przeprowadzić dokładną diagnostykę oraz omówić z lekarzem wszystkie możliwe ryzyka i korzyści związane z wszczepieniem implantu.
Jakie są zalety i wady stosowania implantów?
Decyzja o wszczepieniu implantu wiąże się z wieloma zaletami oraz wadami, które warto rozważyć przed podjęciem ostatecznej decyzji. Do głównych zalet należy możliwość przywrócenia funkcji usuniętej części ciała, co znacząco poprawia jakość życia pacjenta. Implanty stomatologiczne pozwalają na odbudowę uśmiechu, a implanty ortopedyczne mogą przywrócić pełną sprawność ruchową. Ponadto, nowoczesne technologie oraz materiały stosowane w produkcji implantów znacznie zwiększają ich trwałość oraz bezpieczeństwo. Z drugiej strony, istnieją także pewne wady związane z ich stosowaniem. Koszt zabiegu może być znaczny, a nie każdy pacjent kwalifikuje się do jego przeprowadzenia. Dodatkowo, ryzyko powikłań, takich jak infekcje czy problemy z integracją implantu z tkankami ciała, również należy brać pod uwagę.
Czy implanty mają wpływ na zdrowie psychiczne pacjentów?
Wprowadzenie implantów do ciała może mieć znaczący wpływ na zdrowie psychiczne pacjentów. Dla wielu osób utrata zęba lub sprawności ruchowej wiąże się z obniżeniem poczucia własnej wartości oraz problemami emocjonalnymi. Wszczepienie implantu często przywraca pacjentom nie tylko funkcjonalność, ale także pewność siebie i poprawia ich samopoczucie psychiczne. Badania pokazują, że osoby po zabiegach implantologicznych często doświadczają poprawy jakości życia oraz większej satysfakcji z wyglądu i funkcjonowania swojego ciała. Niemniej jednak, nie każdy pacjent reaguje na ten proces w ten sam sposób. Niektórzy mogą odczuwać lęk związany z zabiegiem chirurgicznym lub obawę przed powikłaniami. Dlatego ważne jest wsparcie psychiczne dla pacjentów przed i po zabiegu, aby pomóc im radzić sobie z ewentualnymi obawami oraz stresami związanymi z procesem leczenia.
Jak długo trwa proces gojenia po wszczepieniu implantu?
Czas gojenia po wszczepieniu implantu różni się w zależności od rodzaju implantu oraz indywidualnych predyspozycji pacjenta. W przypadku implantów dentystycznych proces gojenia może trwać od kilku tygodni do kilku miesięcy, w zależności od tego, jak dobrze implant integruje się z kością szczęki. Z kolei w przypadku implantów ortopedycznych czas rekonwalescencji może być dłuższy i wynosić od kilku tygodni do kilku miesięcy. Kluczowym czynnikiem wpływającym na czas gojenia jest stan zdrowia pacjenta oraz przestrzeganie zaleceń lekarza po operacji. Odpowiednia higiena jamy ustnej w przypadku implantów dentystycznych oraz rehabilitacja po operacjach ortopedycznych są niezwykle istotne dla przyspieszenia procesu gojenia. Pacjenci powinni być świadomi tego, że każdy organizm reaguje inaczej na zabieg chirurgiczny i czas potrzebny na pełną regenerację może się różnić.
Czy istnieją alternatywy dla tradycyjnych implantów?
W ostatnich latach rozwój technologii medycznej doprowadził do pojawienia się różnych alternatyw dla tradycyjnych implantów. W przypadku brakujących zębów można rozważyć zastosowanie mostków protetycznych lub protez ruchomych jako mniej inwazyjnych opcji leczenia. Mostki protetyczne wymagają oszlifowania sąsiednich zębów, co może być dla niektórych pacjentów problematyczne, ale oferują estetyczny efekt końcowy bez konieczności wszczepiania implantu. Alternatywy te mogą być dobrym rozwiązaniem dla osób, które nie kwalifikują się do zabiegu implantologicznego lub preferują mniej inwazyjne metody leczenia. W dziedzinie ortopedii również pojawiają się innowacyjne rozwiązania takie jak zastosowanie kompozytowych materiałów czy biologicznych substytutów kości, które mogą wspierać regenerację tkanek bez konieczności stosowania tradycyjnych metalowych implantów.
Jakie są koszty związane z wszczepieniem implantu?
Koszty związane z wszczepieniem implantu mogą się znacznie różnić w zależności od wielu czynników takich jak rodzaj implantu, lokalizacja gabinetu lekarskiego czy doświadczenie chirurga. W przypadku implantów dentystycznych ceny mogą wynosić od kilku tysięcy do nawet kilkunastu tysięcy złotych za jeden implant wraz z procedurą chirurgiczną oraz dodatkowymi kosztami związanymi z konsultacjami czy materiałami eksploatacyjnymi. Koszty te mogą obejmować również dodatkowe zabiegi przygotowawcze takie jak augmentacja kości czy sinus lift w przypadku niewystarczającej ilości tkanki kostnej do osadzenia implantu. W przypadku implantów ortopedycznych ceny również mogą być wysokie; jednak wiele osób może liczyć na refundację części kosztów przez NFZ lub inne instytucje ubezpieczeniowe w zależności od wskazań medycznych i rodzaju zabiegu.
Jakie są opinie pacjentów na temat implantów?
Opinie pacjentów na temat implantów są zróżnicowane i często zależą od indywidualnych doświadczeń oraz oczekiwań. Wiele osób, które zdecydowały się na wszczepienie implantu, podkreśla znaczną poprawę jakości życia, zarówno w kontekście estetyki, jak i funkcjonalności. Pacjenci często chwalą sobie wygodę oraz naturalny wygląd implantów dentystycznych, które pozwalają im na swobodne jedzenie i uśmiechanie się bez obaw o estetykę. Z drugiej strony, niektórzy pacjenci mogą doświadczać problemów po zabiegu, takich jak ból czy dyskomfort, co wpływa na ich ogólną satysfakcję. Ważne jest, aby przed podjęciem decyzji o wszczepieniu implantu zapoznać się z różnorodnymi opiniami oraz doświadczeniami innych pacjentów.





